Ich habe Fertig... Vorerst ;-)

Hier gehört alles rein, was nicht in die anderen Bretter passt. Wie Fragen zum Board, Kritik, Lob, Wünsche, Anmerkungen, Weltschmerz ...
Benutzeravatar
PeJo
XT-Forums-Guru
XT-Forums-Guru
Beiträge: 1578
Registriert: So Jun 21, 2009 23:15
Wohnort: Oberachern

Ich habe Fertig... Vorerst ;-)

Beitragvon PeJo » Mi Apr 07, 2010 21:27

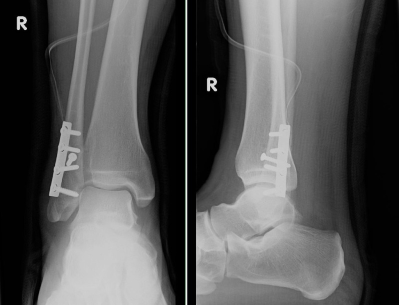
Meine erste Ausfahrt mit meiner XT endete dieses Mal so ...
1. Ausfahrt.JPG
nu hab ich erst mal Pause :cry:

also fahrt Vorsichtig :wink:

gruß Peter
... und immer locker durch die Hose atmen! :happy:

Benutzeravatar
seefreedo
XT-Forums-Guru
XT-Forums-Guru
Beiträge: 2231
Registriert: Mo Dez 22, 2003 22:43
Wohnort: Oldenburg

Re: Ich habe Fertig... Vorerst ;-)

Beitragvon seefreedo » Mi Apr 07, 2010 21:43

Oh :eek: :!:

Wie hast Du denn das hingekriegt :?: Schöner Mist :!:

Die Bilder sind wenigstens gut :!: Ich wünsche alles Gute zur Genesung :!:

Matthias
Alles wird perfekt :supz:

Benutzeravatar
PeJo
XT-Forums-Guru
XT-Forums-Guru
Beiträge: 1578
Registriert: So Jun 21, 2009 23:15
Wohnort: Oberachern

Re: Ich habe Fertig... Vorerst ;-)

Beitragvon PeJo » Mi Apr 07, 2010 21:58

Hi seefreedo

ich wollte den Rheindamm hochfahren und kam dabei leicht ins Rutschen. :(
Bin dabei aus Reflex mit den Kickstarterfuß versehentlich in eine Kule im Damm steckengeblieben und Mopped fuhr weiter.
Ich habs nur noch knacksen gehört, da hats mir den Fuß nach ausen gebogen.

Nun hab ich viel Zeit :dance

Danke für deine Genesungswünsche

gruß Peter
... und immer locker durch die Hose atmen! :happy:

Benutzeravatar
Frank M
5000+ Club
5000+ Club
Beiträge: 7128
Registriert: So Jun 01, 2003 1:11
Wohnort: Dettum

Re: Ich habe Fertig... Vorerst ;-)

Beitragvon Frank M » Mi Apr 07, 2010 22:00

die Schrauben sind ja schief drin.

"Feindkontakt" gehabt oder wie passiert sowas?

Gute Heilung

Benutzeravatar
seefreedo
XT-Forums-Guru
XT-Forums-Guru
Beiträge: 2231
Registriert: Mo Dez 22, 2003 22:43
Wohnort: Oldenburg

Re: Ich habe Fertig... Vorerst ;-)

Beitragvon seefreedo » Mi Apr 07, 2010 22:36

"Feindkontakt" gehabt oder wie passiert sowas?
Offensichtlich ja kein Feindkontakt :!:

Wenigstens hast Du ja Verbindung, wlan im Krankenhaus :?: Dann hast Du es ja gut getroffen :!: Oder bist Du schon wieder zu Hause :?:

Matthias
Alles wird perfekt :supz:

Benutzeravatar
PeJo
XT-Forums-Guru
XT-Forums-Guru
Beiträge: 1578
Registriert: So Jun 21, 2009 23:15
Wohnort: Oberachern

Re: Ich habe Fertig... Vorerst ;-)

Beitragvon PeJo » Mi Apr 07, 2010 22:43

Hi seefreedo

WLAN im Krankenhaus :?: nee nicht als Kassenpatient. :(

Bin nach einer Woche Krankenhaus endlich wieder zu Hause. :|

gruß Peter
... und immer locker durch die Hose atmen! :happy:

Benutzeravatar
Merry
XT-Forums-Guru
XT-Forums-Guru
Beiträge: 1833
Registriert: Do Aug 17, 2006 12:02
Wohnort: Mittelfranken

Re: Ich habe Fertig... Vorerst ;-)

Beitragvon Merry » Mi Apr 07, 2010 23:32

Gute Besserung dem Wadenbeinchen!

Dummerweise auch noch das Kickbein...
Gruß, Merry

Kann Spuren von Senf enthalten

Benutzeravatar
Struppi
XT-Forums-Guru
XT-Forums-Guru
Beiträge: 1383
Registriert: Fr Jun 06, 2003 15:11
Wohnort: Monheim am Rhein

Re: Ich habe Fertig... Vorerst ;-)

Beitragvon Struppi » Mi Apr 07, 2010 23:58

........shicendreck sowas :cry: .............aber wie ich schon in anderem Zusammenhang schrub: Alles wird gut und happy Genesung

Gruss Struppi
Es ist nie zu spät für eine glückliche Kindheit.

Benutzeravatar
PeJo
XT-Forums-Guru
XT-Forums-Guru
Beiträge: 1578
Registriert: So Jun 21, 2009 23:15
Wohnort: Oberachern

Re: Ich habe Fertig... Vorerst ;-)

Beitragvon PeJo » Do Apr 08, 2010 0:02

Danke Merry

muß dann wohl ne weile mit der Hand anmachen, hab ich schon öfters probiert.

Wie diese zwei Kollegen auch...

http://www.youtube.com/watch?v=FhjGXdb_uHA :lol:

http://www.youtube.com/watch?v=pLdc6wrm7S8 :wink:

gruß Peter
... und immer locker durch die Hose atmen! :happy:

Benutzeravatar
healer
XT-Forums-Guru
XT-Forums-Guru
Beiträge: 2163
Registriert: Mo Jun 02, 2003 12:23
Wohnort: Scharbeutz/Ostsee

Re: Ich habe Fertig... Vorerst ;-)

Beitragvon healer » Do Apr 08, 2010 0:15

gute besserung dir.

ich kenne da was von.
wird schon.


gruss vom
healer
yellow rulez


und das mache ich auch manchmal

Benutzeravatar
PeJo
XT-Forums-Guru
XT-Forums-Guru
Beiträge: 1578
Registriert: So Jun 21, 2009 23:15
Wohnort: Oberachern

Re: Ich habe Fertig... Vorerst ;-)

Beitragvon PeJo » Do Apr 08, 2010 0:17

Danke Struppi

und viel Spass mit deiner Miles :wink:

gruß Peter
... und immer locker durch die Hose atmen! :happy:

Benutzeravatar
PeJo
XT-Forums-Guru
XT-Forums-Guru
Beiträge: 1578
Registriert: So Jun 21, 2009 23:15
Wohnort: Oberachern

Re: Ich habe Fertig... Vorerst ;-)

Beitragvon PeJo » Do Apr 08, 2010 0:19

THX healer :razz:

immer gute Fahrt gruß Peter :ja:
... und immer locker durch die Hose atmen! :happy:

Benutzeravatar
TT Georg
Fleißiger Forums-Guru
Fleißiger Forums-Guru
Beiträge: 3240
Registriert: Fr Apr 23, 2004 23:34
Wohnort: 44289 Dortmund
Kontaktdaten:

Re: Ich habe Fertig... Vorerst ;-)

Beitragvon TT Georg » Do Apr 08, 2010 7:28

tach Jungs!

dann will ich in dem Fotothread auch mal mitmachen...
Willkommen im Titan lager...
bei mir wars am 13.2. beim Langlauf....Huuuussstt.....also ohne XT....

Gruß

Georg
Dateianhänge
2010-02-19 10-32-09_0020a.jpg
2010-02-19 10-29-07_0019a.jpg
Wenn mir als 18jähriger im Jahr 1988 gesagt hätte, das ich dieses 40 Jahre alte Moped fahren soll um cool zu sein, dann haetten ich wohl ganz brav den Mittelfinger gehoben und auf den hobeln aus 1948 gezeigt. Vergiss es.

Gast

Re: Ich habe Fertig... Vorerst ;-)

Beitragvon Gast » Do Apr 08, 2010 8:24

Dann mal Gute Besserung Jungs.
Georg, bei dir im Skelett sieht´s ja aus wie die bunte Mischung in der Werkstattwühlkiste :wink:

Gruß
Karsten

Benutzeravatar
PeJo
XT-Forums-Guru
XT-Forums-Guru
Beiträge: 1578
Registriert: So Jun 21, 2009 23:15
Wohnort: Oberachern

Re: Ich habe Fertig... Vorerst ;-)

Beitragvon PeJo » Do Apr 08, 2010 9:30

Hi TT Georg

das sieht ja mal Heftich aus, :eek:

Ich denke so wie das Aussieht bist du beim Tragen deiner XT auf der Treppe zum 12. Stock auf einer Bananenschale ausgerutsch :?

oder so Ähnlich :?: :?:

Ich wünsch dir gute Genesung und viel Spass in deiner neu Gewonnenen Freizeit :lol:

Gruß Peter
... und immer locker durch die Hose atmen! :happy:


Zurück zu „Dies und das [off topic]“

Wer ist online?

Mitglieder in diesem Forum: 0 Mitglieder und 2 Gäste